About
インビザライン・ファーストは、子どものためのマウスピース型矯正装置です。
技術が進歩し、6歳~12歳頃の乳歯と永久歯が混ざった時期の矯正治療(1期治療)が可能となりました。これにより、永久歯を抜かずに治療できる可能性が高まりました。
空隙歯列(すきっ歯)
交叉咬合
開咬
上顎前突(出っ歯)
他にも気になるお悩みがございましたら
お気軽にご相談ください。
大人の歯が下記の通り生えたら可能になります。
Price
Ⅰ期治療
6~10歳頃
39万円(税込)
さらに矯正治療が必要な場合
Ⅱ期治療
11歳~ ほぼ大人の歯になったら
※Ⅰ期治療がワイヤー矯正の方は対象外です
Merit&Demerit
Cases
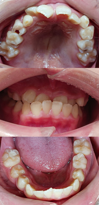
叢生 9歳 女性
<Before>
<After>


<Before>
<After>
<Before>
<After>
Features
2022・2023・2024 3年連続 ダイヤモンドステータス
2022・2023・2024
3年連続 ダイヤモンドステータス
高ステータスだからこそ地域最安値を実現
当院は、インビザラインの症例実績や経験を評価された医師のみに授与されるインビザライン ブラックダイヤモンド・プロバイダー認定医院です。
インビザラインには年間のインビザライン矯正症例数に応じて、世界共通の実績評価が行われます。ブラックダイヤモンド・プロバイダーは年間症例数が401以上を達成した医師が認定されるもので、実績評価の中でも上位のランクになります。
インビザラインの治療方針はDrの経験により30%ほど左右されると言われます。当院では過去の様々な治療結果をもとに最善な方法を提供致します。
院長はブラックダイヤモンドドクター(インビザラインを行う歯科医院の全世界上位1%)に認定されています。すべての症例は担当医が行っていきます。
Access&Reserve
※ワイヤー矯正は第2と第4の月・金のみご対応
〇月・金 9:30~18:30
●土・日 9:00~17:00
火・水:TEL受付のみ
休診日:木
©IANDAKAI ALL RIGHT RESERVED.